На сайте используются cookies. Продолжая использовать сайт, вы принимаете условия
Ok
1 Подписывайтесь на Газету.Ru в MAX Все ключевые события — в нашем канале. Подписывайтесь!
Все новости
Новые материалы +

Англичанин порвал горло и попал в больницу, пытаясь не чихнуть

Британские врачи не советуют людям сдерживаться, если хочется чихнуть. Особенно – закрывая нос и рот, ведь в противном случае человек может оказаться в больнице с травмами.

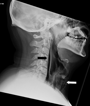
Именно это произошло с жителем Англии, который был помещен в больницу с жалобами на невозможность говорить и боли в горле. После неудачного чиханья в горле пациента появилась резь, а его шея вздулась, говорится в статье, описывающей необычный медицинский случай в журнале BMJ Case Reports. Во время обследования врачи обратили внимание на потрескивающий звук, возникающий при надавливании на обе стороны шеи, и вниз — до грудной клетки.

Этот симптом – крапитация, возникающая при попадании воздуха под кожу. Кроме того, при помощи компьютерной томографии был диагностирован пневмомедиастинум — скопление воздуха в клетчатке средостения. Врачи установили, что при попытке чихнуть у пациента произошел разрыв нижней части глотки, там, где она соединяется с пищеводом. В течение семи дней пациент питался через трубку и принимал антибиотики, после чего его состояние улучшилось.

Новости и материалы
Родителей предупредили о рисках совместного сна с ребенком
Военные заявили о перехвате дрона, летевшего к атомному авианосцу Франции
Из взорвавшегося кафе в Казахстане выбежали люди в горящей одежде
Глава офиса президента Украины сделал заявление о территориях
Стало известно, кому принадлежал катер, вторгшийся в территориальные воды Кубы
Пакистан нанес удар по провинции в Афганистане
Мирошник считает рассказ Зеленского о жизни в бункере пиар-ходом
Женщина изготовила взрывные устройства и прикрепила к машине любовницы своего мужа
Московское «Динамо» обеспечило себе выход в плей-офф
В Госдуме призвали изучить ситуацию с флагом России на матче Рублева в Дубае
Мужчина похитил мать пятерых детей и изнасиловал из-за отказа продолжать отношения
Сын-наркоман морил голодом больную мать и тратил ее пенсию на наркотики
Премьера фильма «Крик 7» превратилась в акцию протеста
Минобороны сообщило о ликвидации 53 украинских беспилотников
На Западе предупредили о последствиях ссоры Зеленского с двумя странами ЕС
Афганистан заявил о начале операции против Пакистана
Появилось фото подозреваемого в похищении девятилетей девочки в Смоленске
Тренер женской баскетбольной команды напоил и изнасиловал 18-летнюю школьницу
Все новости