На сайте используются cookies. Продолжая использовать сайт, вы принимаете условия
Ok
1 Подписывайтесь на Газету.Ru в MAX Все ключевые события — в нашем канале. Подписывайтесь!
Все новости
Новые материалы +

Женщина с редким расстройством пищевого поведения съела зарядку от своего iPhone

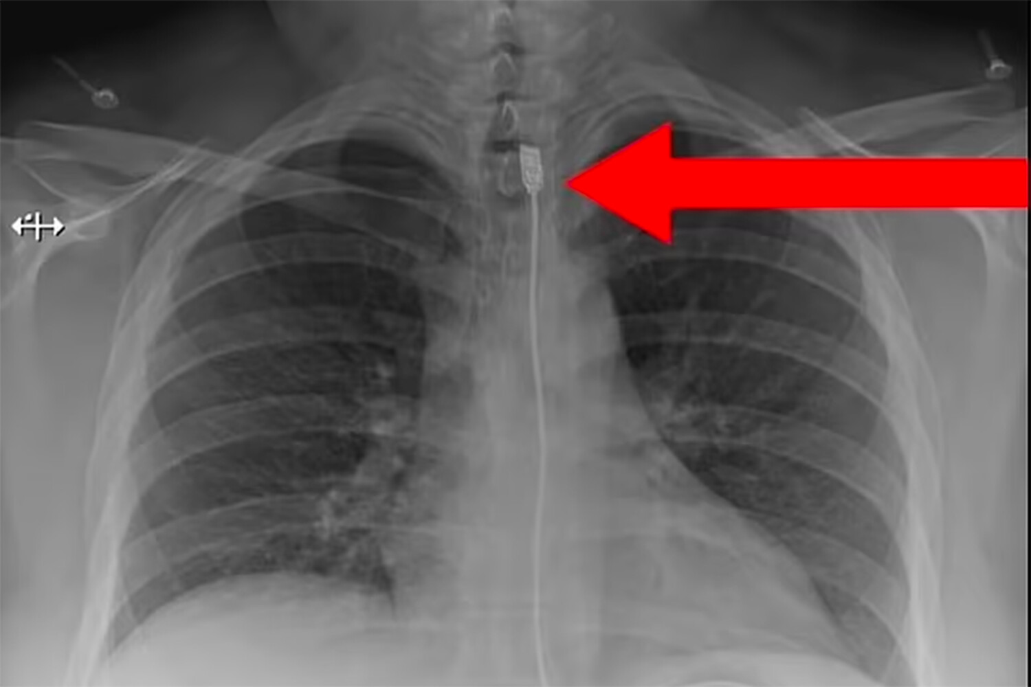
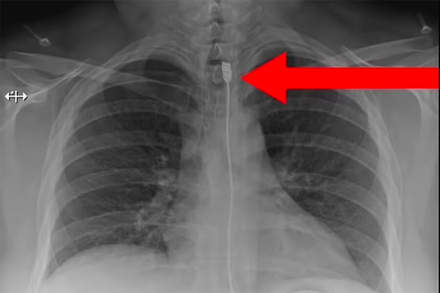
Жительница Польши с редким расстройством пищевого поведения съела зарядку от своего iPhone, пишет Daily Mail. После этого женщину экстренно госпитализировали.

Женщина, чье имя не сообщается, страдает пикацизмом — расстройством, при котором люди пытаются есть несъедобные вещи. После того, как полька проглотила провод зарядного устройства, она позвонила в «скорую» и сообщила о случившимся, предупредив врачей, что начинает задыхаться.

Обследование показало, что кабель застрял в пищеводе пострадавшей, поэтому медикам пришлось провести специальную процедуру, чтобы достать посторонний предмет. После операции женщина была переведена в реанимацию, а потом отпущена домой.

Врачи добавили, что сейчас пациентка чувствует себя хорошо, и ее жизни ничего не угрожает.

Ранее психолог объяснила, почему люди много едят во время стресса.

Поделиться:
Загрузка
 
Что нужно знать о трудовом стаже, чтобы брали на работу и платили пенсию. Объясняем