На сайте используются cookies. Продолжая использовать сайт, вы принимаете условия
Ok
1 Подписывайтесь на Газету.Ru в MAX Все ключевые события — в нашем канале. Подписывайтесь!
Все новости
Новые материалы +

Мужчина ввел в уретру 10-сантиметровый кабель и инструмент для извлечения SIM-карты

Daily Mail: мужчина полгода ходил с инородными предметами в мочевом пузыре

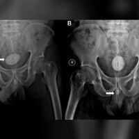
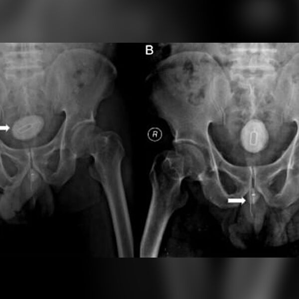
У мужчины из Индонезии удалили из уретры инструмент для извлечения SIM-карты, электрический кабель и канцелярскую резинку. Об этом сообщает Daily Mail.

48-летний мужчина из Индонезии обратился к врачам из-за боли и нарушения мочеиспускания. Пациент шесть месяцев прожил с инородными предметами в уретре. Анализы крови и мочи показали, что у мужчины была почечная недостаточность и инфекция мочевыводящих путей.

Металлический инструмент для извлечения SIM-карт привел к образованию камня в мочевом пузыре и сильной боли. Его, а также электрический кабель длиной 10 см и иглу длиной 8 см, перевязанную резинкой, удалили хирурги.

Мужчина смог нормально мочиться через неделю после процедуры. Через шесть недель у него не было никаких осложнений, а функция почек оказалась нормальной.

Сам пациент отрицал, что когда-либо вводил инородные предметы в уретру. У мужчины, которого врачи описали как сексуально активного, не было документально подтвержденных психических расстройств, когда он первоначально обратился за медицинской помощью. Позже психиатры диагностировали у мужчины расстройство адаптации — эмоциональную реакцию на стрессовое событие. Ему прописали антипсихотики — препараты, которые уменьшают и контролируют симптомы психических заболеваний, включая шизофрению и биполярное расстройство.

Ранее врач рассказала, как полный мочевой пузырь влияет на измерение кровяного давления.

Что думаешь?
Загрузка
 
Снотворная тарелка: какие продукты помогут мозгу успокоиться и заснуть быстрее