Размер шрифта
Новости Спорт
Выйти
Переговоры о мире на УкраинеБлокировка Telegram
Общество

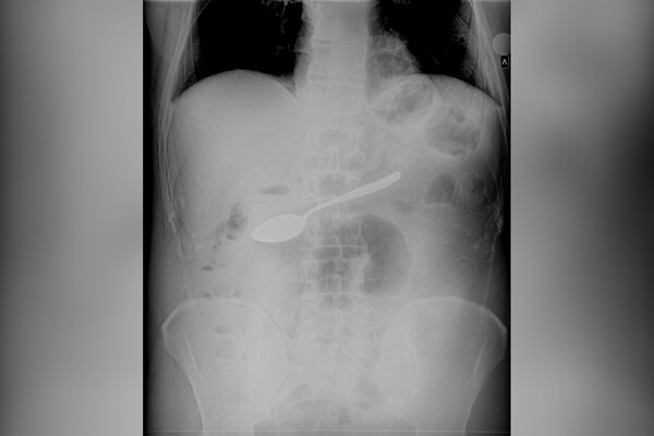
Подмосковные врачи спасли мужчину с десертной ложкой в желудке

В Подмосковье врачи спасли мужчину с десертной ложкой в желудке

В Подмосковье из желудка мужчины извлекли десертную ложку. Об этом сообщает Telegram-канал «Разборчивым почерком».

По информации Telegram-канала, мужчина с инородным предметом в желудке попал в Мытищинскую больницу. Врачи в ходе осмотра установили, что этим предметом является десертная ложка — как она туда попала, не уточняется.

Медики приняли решение извлечь ложку обратным путем, а именно через пищевод с помощью специального зажима. Так им удалось избежать открытой операции.

Врачи успешно извлекли инородный предмет из желудка пациента, не травмировав его. Информации о том, как мужчина себя чувствует, не поступало.

До этого в Туле врачи спасли женщину со скоплением инородных предметов в организме. Они извлекли из ее ЖКТ монеты общим весом в 1,5 килограмма.

Ранее в Воронеже диск от болгарки пропилил мужчине ногу.


 
Дальше вы перейдёте на сайт нашего партнера
На сайте используются cookies. Продолжая использовать сайт, вы принимаете условия
Ok
1 Подписывайтесь на Газету.Ru в MAX Все ключевые события — в нашем канале. Подписывайтесь!