Размер шрифта
Новости Спорт
Выйти
США и Израиль атаковали ИранПереговоры о мире на Украине
Семья и Дети

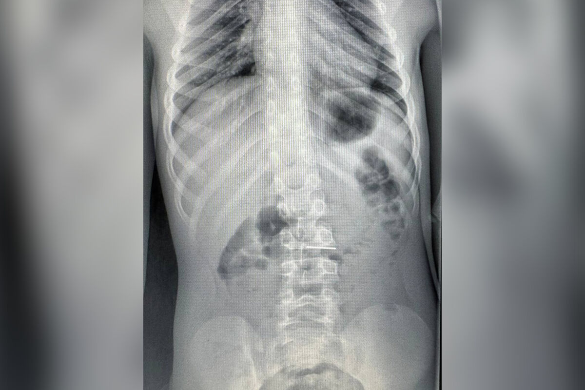
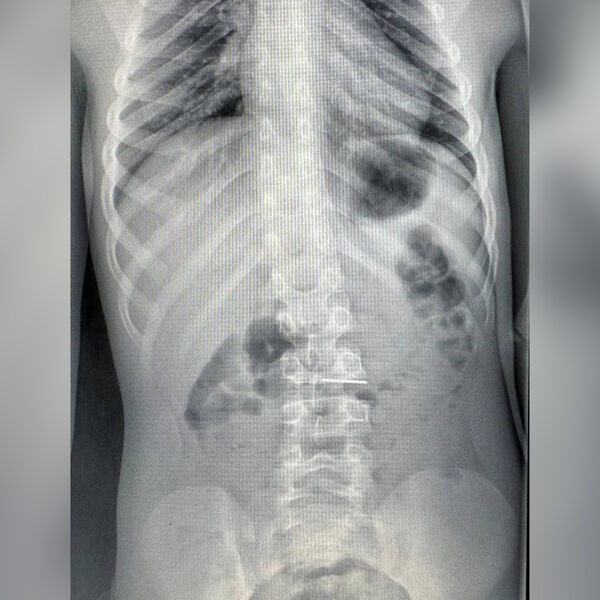
Российские врачи спасли дошкольника, проглотившего иголку

В Подмосковье врачи извлекли из желудка дошкольника иголку

Врачи Детского центра имени Л.М. Рошаля спасли шестилетнего мальчика, который проглотил иголку. Об этом сообщили в пресс-службе минздрава Московской области.

Маленького пациента доставили в больницу на скорой помощи. Обследование показало, что инородный предмет опустился в желудок ребенка.

«С помощью биопсийных щипцов эндоскописты переместили иголку из двенадцатиперстной кишки в желудок, откуда уже безопасно извлекли из тела ребенка», — рассказали в пресс-службе ведомства, добавив, что на манипуляцию врачам потребовалось полчаса.

Инородный предмет не успел причинить здоровью пациента вреда, и на следующий день ребенка выписали.

До этого в Оренбурге врачи спасли школьника, проглотившего связку ключей.

Ранее российские хирурги спасли девочку, которая ударилась на тренировке и получила разрыв почки.

 
Рекордная волна новых ГОСТов: зачем изменят 2000 стандартов и как это повлияет на продукты
На сайте используются cookies. Продолжая использовать сайт, вы принимаете условия
Ok
1 Подписывайтесь на Газету.Ru в MAX Все ключевые события — в нашем канале. Подписывайтесь!