Размер шрифта
Новости Спорт
Выйти
США и Израиль атаковали ИранБлокировка TelegramПереговоры о мире на Украине
Общество

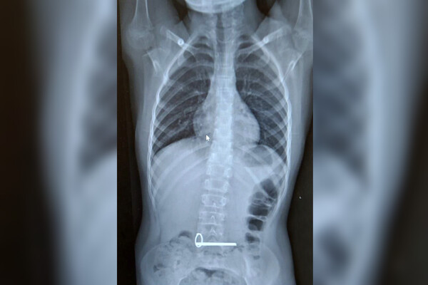
В Оренбурге восьмилетний школьник проглотил связку ключей

В Оренбурге спасли ребенка, проглотившего связку ключей

Врачи областной детской клинической больницы Оренбурга извлекли связку ключей из желудка школьника. Об этом сообщает пресс-служба медицинского учреждения.

Школьник поступил в отделение экстренной помощи с подозрением на инородное тело в желудке. В ходе обследования было установлено, что мальчик проглотил два металлических ключа.

Эндоскописты извлекли ключи без каких-либо осложнений для ребенка, манипуляцию провели под наркозом. Жизни и здоровью несовершеннолетнего ничто не угрожает.

До этого сообщалось, что в Подмосковье врачи достали из желудка полуторагодовалого ребенка более ста магнитов. В больницу родители обратились после того, как заподозрили, что мальчик проглотил инородный предмет. Во время обследования выяснилось, что пациент проглотил 130 магнитов и литиевую батарейку. С помощью специального оборудования специалисты провели гастроскопию и достали все инородные предметы.

Ранее российские хирурги спасли девочку, которая ударилась на тренировке и получила разрыв почки.

 
Нетаньяху ввязался в войну с Ираном. В каких еще конфликтах на Ближнем Востоке участвовал израильский премьер и чем это обернулось
На сайте используются cookies. Продолжая использовать сайт, вы принимаете условия
Ok
1 Подписывайтесь на Газету.Ru в MAX Все ключевые события — в нашем канале. Подписывайтесь!