Размер шрифта
Новости Спорт
Выйти
Война США и Израиля против ИранаЧП с поездом Челябинск — МоскваПереговоры о мире на Украине
Общество

Двухлетний ребенок проглотил 20 магнитных шариков и попал в больницу

В Бурятии спасли ребенка, наглотавшегося магнитов

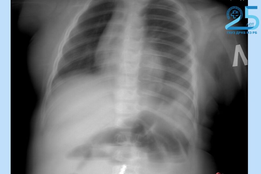
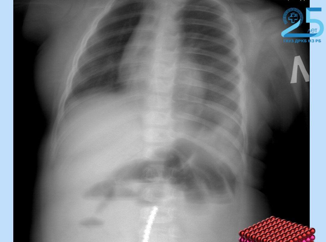
В Детской республиканской клинической больнице Бурятии врачи спасли двухлетнего ребенка, который проглотил 20 магнитных шариков от неокуба, потребовалась срочная операция. Об этом сообщает пресс-служба медицинского учреждения.

Маленький пациент поступил в больницу с приступами рвоты в тяжелом состоянии. Рентген показал множество инородных тел в желудочно-кишечном тракте. Выяснилось, что несовершеннолетний наглотался магнитных шариков от игрушки.

«Нам удалось удалить девять магнитов эндоскопически (ФГДС). Однако остальные мигрировали по кишечнику, вызвав перфорацию. Петли тонкой, сигмовидной и слепой кишки слиплись между собой из-за магнитного притяжения», — рассказал хирург-эндоскопист ДРКБ Булат Шагдаров.

Хирурги провели открытую операцию, из-за притянувшихся друг к другу магнитов им пришлось удалить поврежденный участок тонкой кишки. Врачи также ушили свищи и извлекли аппендикс, куда опустилась часть магнитов. Сейчас ребенок переведен из реанимации в обычное отделение, его состояние оценивается как стабильное.

Ранее в Москве хирурги спасли школьника с булавкой в бронхах.

 
Российская онковакцина, опасные комары и лекарство из семени свиней. Главное о здоровье за неделю
На сайте используются cookies. Продолжая использовать сайт, вы принимаете условия
Ok
1 Подписывайтесь на Газету.Ru в MAX Все ключевые события — в нашем канале. Подписывайтесь!