Размер шрифта
Новости Спорт
Выйти
США и Израиль атаковали ИранБлокировка TelegramПереговоры о мире на Украине
Общество

Российские врачи спасли пенсионера с опухолью мозга размером с лимон

В Пятигорске врачи спасли пенсионера с огромной опухолью мозга

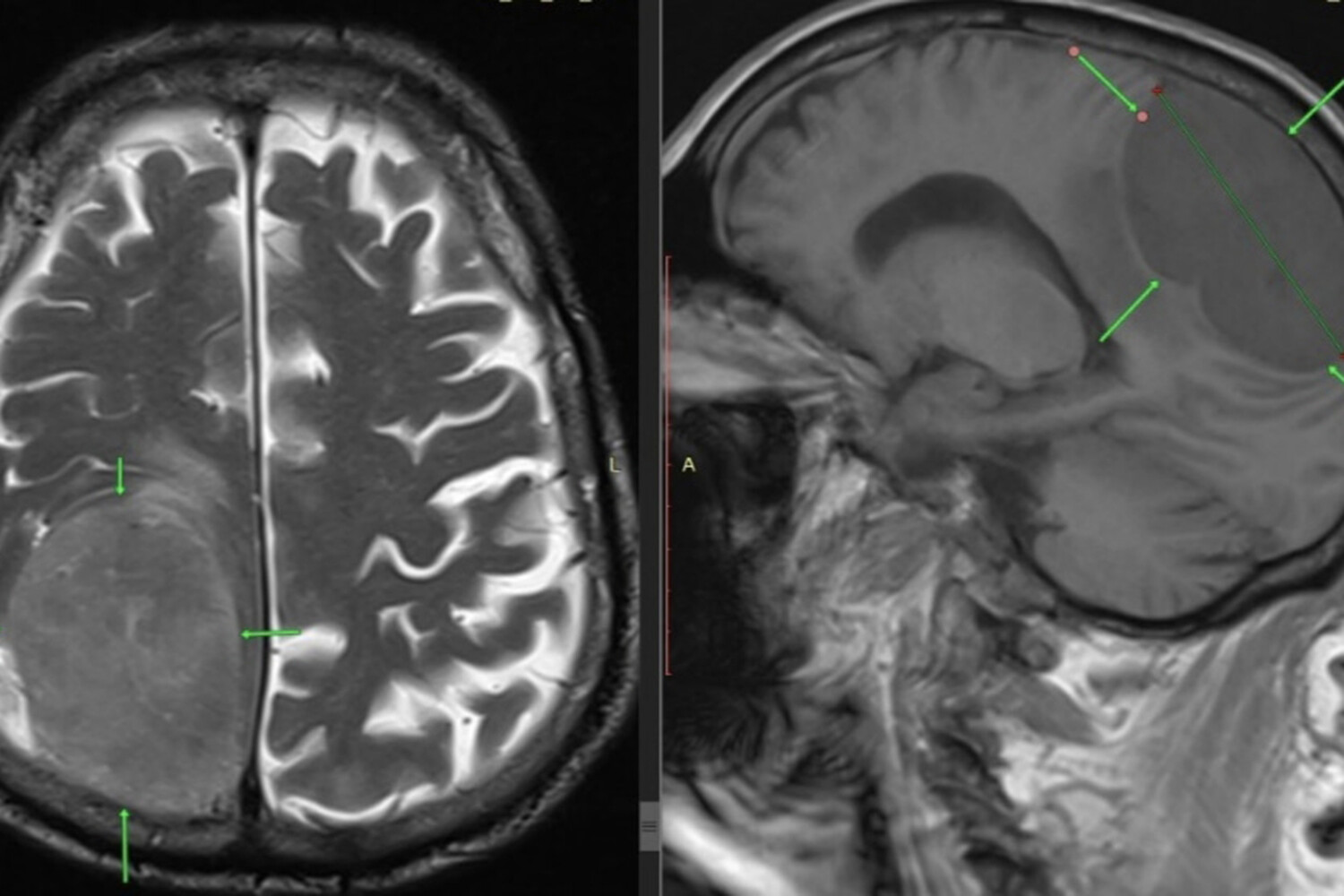
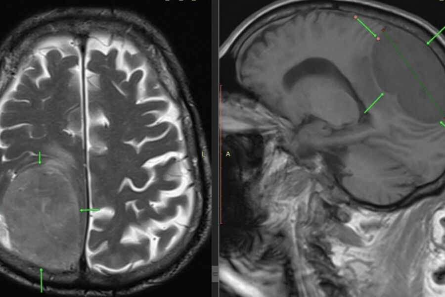
В Пятигорске медики спасли 85-летнего мужчину, у которого в голове была опухоль размером с лимон. Об этом сообщает пресс-служба ГКБ Пятигорска.

Пожилого пациента доставили в больницу с симптомами, напоминавшими инсульт — у него отказала левая нога и парализовало левую половину тела. Врачи выявили причину недомогания мужчины. Оказалось, что у него в голове находится новообразование размером восемь на семь сантиметров.

Нейрохирурги провели пенсионеру костно-пластическую трепанацию черепа и полностью удалили опухоль. После вмешательства состояние мужчины быстро улучшилось, у него восстановилась двигательная активность. Гистология подтвердила доброкачественный характер удаленной опухоли.

Ранее в Улан-Удэ женщине удалили миому размером с голову взрослого человека.

 
15 сериалов марта-2026. Главные новинки, которые точно стоит посмотреть
На сайте используются cookies. Продолжая использовать сайт, вы принимаете условия
Ok
1 Подписывайтесь на Газету.Ru в MAX Все ключевые события — в нашем канале. Подписывайтесь!