Размер шрифта
Новости Спорт
Выйти
Операция США в Венесуэле и захват МадуроПротесты в Иране — 2026Притязания США на Гренландию
Новости. Общество

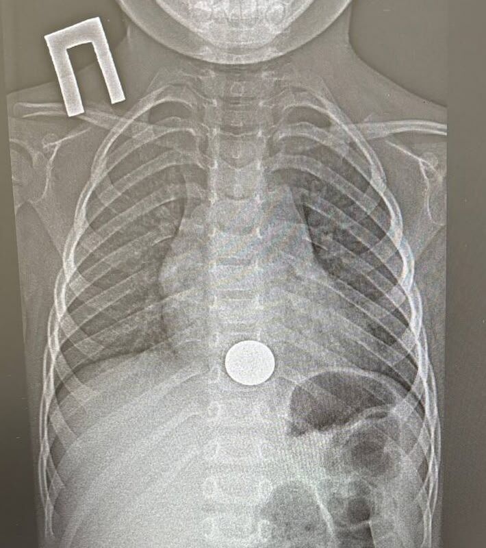
Двухлетний ребенок проглотил монету и попал в больницу в Татарстане

В Татарстане спасли двухлетнего ребенка, проглотившего монету

В Татарстане ребенок проглотил монету и попал в больницу. Об этом сообщает пресс-служба ГАУЗ НДРБ с ПЦ.

Инцидент произошел 15 декабря. Малолетний взял у старшего брата монету, чтобы поиграть с ней, и случайно ее проглотил. Ребенок сразу рассказал об этом родителям, и мать оперативно доставила его в больницу. Мальчик жаловался на боль за грудиной.

Пациенту провели рентген и обнаружили у него инородное тело в пищеводе, детский врач выполнил эндоскопическое удаление монетки. Вся процедура заняла около минуты.

После проведения манипуляций ребенка для наблюдения перевели в хирургическое отделение. Уже на следующий день его выписали домой в удовлетворительном состоянии.

Ранее в ХМАО двухлетний мальчик наглотался магнитов.

{
    "_essence": "video",
    "media_position": "bottom",
    "uid": "_id_video_media_27427933_rnd_4",
    "video_id": "record::cce358e4-4af0-4c8a-a3f8-6914eb35e9f4"
}

 
Обещали рост — принесли убытки. Пять громких провалов на российском рынке акций