Размер шрифта
Новости Спорт
Выйти
Война США и Израиля против ИранаПереговоры о мире на Украине
Общество

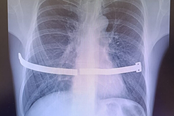
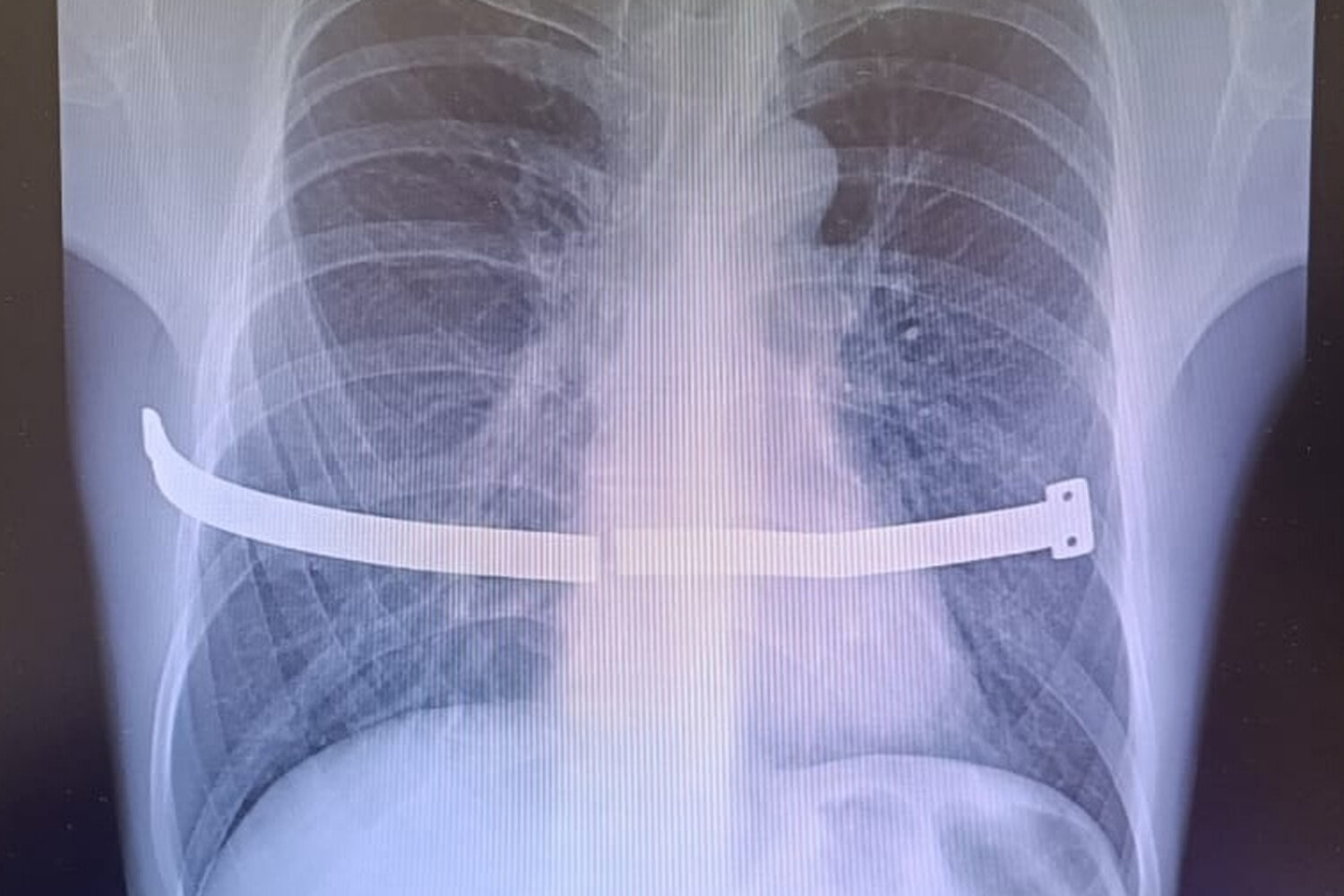
У россиянина разломилась в груди пластина, которую он должен был удалить 13 лет назад

В Сургуте врачи спасли мужчину с разломившейся пластиной в грудной клетке

Врачи Сургутского травматологического центра спасли мужчину, беспечность которого едва не привела к серьезным повреждениям внутренних органов. Случаем из практики поделились в пресс-службе медицинского учреждения.

Пациент 17 лет проходил с металлической пластиной в груди, которая, ожидаемо, раскололась, так как не была предназначена для столь долгой «эксплуатации». Конструкцию установили мужчине для коррекции воронкообразной деформации груди. Устройство следовало удалить спустя четыре года, но пациент не торопился с операцией. В итоге пластина разломилась пополам и один из ее краев стал упираться в оболочку сердца.

Из-за сильных болей пациент обратился к медикам, и операции избежать не удалось.

«Пациент все-таки расстался с пластиной. Хирурги успешно извлекли ее, несмотря на технические сложности. За многие годы металл уже сросся с костной тканью, пришлось частично резецировать ребро», — рассказали в пресс-службе, отметив, что это не повлияет на качество жизни.

Медики отметили, что подобные вмешательства малотравматичны и мужчина зря подвергал себя рискам, отсрочивая ее.

Ранее в Твери врачи спасли женщину, несколько лет ходившую со швейной иглой в легком.

 
Как выспаться и все успеть? Сколько на самом деле нужно сна для здоровья
На сайте используются cookies. Продолжая использовать сайт, вы принимаете условия
Ok
1 Подписывайтесь на Газету.Ru в MAX Все ключевые события — в нашем канале. Подписывайтесь!