Размер шрифта
Новости Спорт
Выйти
Переговоры о мире на УкраинеБлокировка Telegram
Наука

Ученые обнаружили миллионы скрытых изменений ДНК в детских раковых опухолях

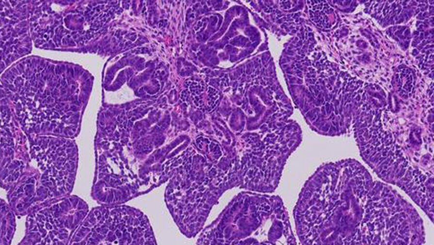
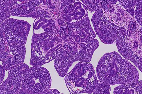
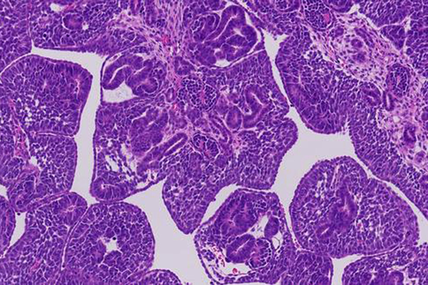
NatCom: рак почек у детей содержит намного больше генетических изменений

Международная команда ученых выяснила, что некоторые виды рака у детей, в частности опухоль Вильмса (редкий вид рака почек), содержат намного больше генетических изменений, чем считалось ранее. Это может изменить подход к лечению детского рака, включая возможность применения иммунотерапии, ранее использовавшейся в основном для взрослых. Работа опубликована в журнале Nature Communications (NatCom).

До сих пор считалось, что опухоли у детей относительно «чистые» — в них мало мутаций. Однако исследователи использовали новейшие методы секвенирования ДНК и изучили опухоли с беспрецедентной точностью.

В четырех образцах опухолей у детей до 6 месяцев ученые нашли от 72 до 111 дополнительных мутаций в каждой раковой клетке, которые были не видны при обычной диагностике. Это означает, что в одной опухоли может быть миллионы мутаций — в десятки раз больше, чем предполагалось.

«Мы увидели, что то, что раньше казалось небольшой горсткой мутаций, на самом деле — верхушка айсберга», — отметил профессор Сэм Бехджати из Wellcome Sanger Institute.

Такой масштаб мутаций говорит о том, что некоторые детские опухоли могут быстро становиться устойчивыми к лечению, а значит, можно пересмотреть применение взрослых методов лечения, включая иммунотерапию — особенно перспективную при большом количестве генетических изменений.

Одной из таких мутаций оказалась спонтанная поломка в гене FOXR2, происходящая еще в утробе. Она дает начало особому виду опухоли Вильмса с характерным внешним видом и «подписью» в РНК. В будущем это может помочь врачам быстрее распознавать такие случаи и подбирать целевые лекарства.

Ученые отмечают, что открытие не только меняет понимание природы детских опухолей, но и дает надежду на более точную и щадящую терапию, особенно в возрасте, когда традиционное лечение может серьезно повлиять на развитие ребенка.

Ранее был разработан метод ранней диагностики почечной недостаточности.


 
Соседи не дают спокойно жить? Как наказать нарушителей и когда закон бессилен
На сайте используются cookies. Продолжая использовать сайт, вы принимаете условия
Ok
1 Подписывайтесь на Газету.Ru в MAX Все ключевые события — в нашем канале. Подписывайтесь!