Размер шрифта
Новости Спорт
Выйти
Удар ВСУ по колледжу в ЛНРВойна США и Израиля против Ирана
Семья и Дети

На Ямале ребенок раскусил ртутный градусник и проглотил содержимое

В Новом Уренгое ребенок раскусил ртутный градусник и попал в больницу

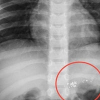
Врачи Новоуренгойской центральной городской больницы осмотрели маленького мальчика, который во время игры раскусил ртутный градусник и проглотил его содержимое. Об этом сообщили в пресс-службе медицинского учреждения.

«Проглоченная ртуть не опасна, токсичны только ее пары. Поэтому ребенка обследовали и оставили на несколько дней под амбулаторным наблюдением», — пояснили в пресс-службе больницы.

Врачи отметили, что ртуть, попавшая в желудок, пройдет по пищеварительному тракту и выйдет с калом. Медики некоторое время наблюдали за пациентом, убедившись, что все хорошо, ребенка отпустили.

Также в больнице призвали родителей лучше следить за дошкольниками во избежание подобных инцидентов.

«Если несчастный случай все же произошел, следует сразу обратиться к врачу и в службу демеркуризации», — напомнили представители больницы.

Ранее в Крыму ребенок отказался измерять температуру, разгрыз градусник и проглотил ртуть.

 
Вахтовикам много платят, служащим угрожает ИИ, студенты штурмуют вакансии. Главное о рынке труда за неделю
На сайте используются cookies. Продолжая использовать сайт, вы принимаете условия
Ok
1 Подписывайтесь на Газету.Ru в MAX Все ключевые события — в нашем канале. Подписывайтесь!