Размер шрифта
Новости Спорт
Выйти
Операция США в Венесуэле и захват МадуроГибель детей в роддоме НовокузнецкаПротесты в Иране — 2026
Новости технологий

Разгадана причина феномена «звездного неба» на томограмме мозга пациента из Южной Кореи

AT: причиной «звездного неба» на томограмме мозга корейца оказались туберкулемы

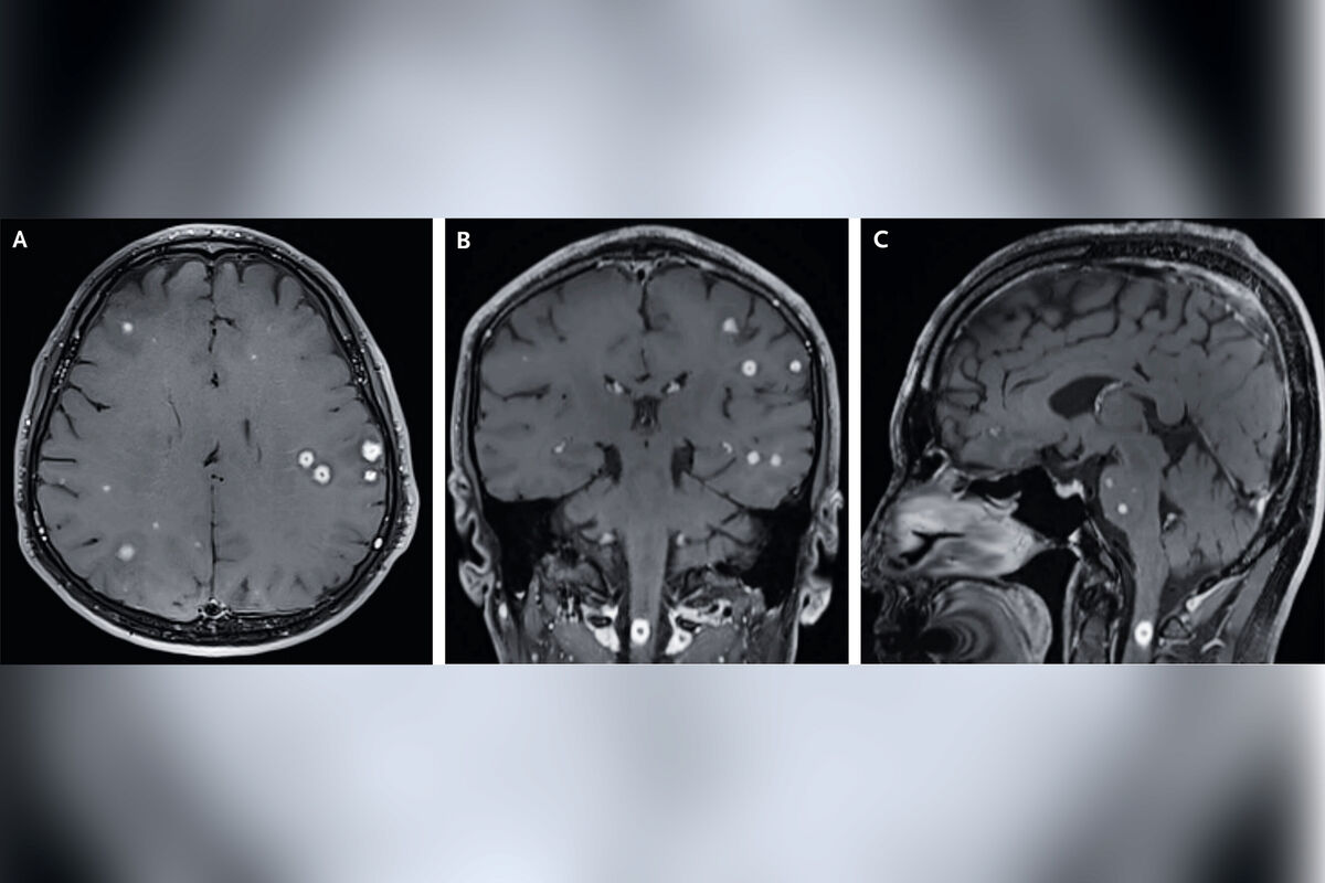
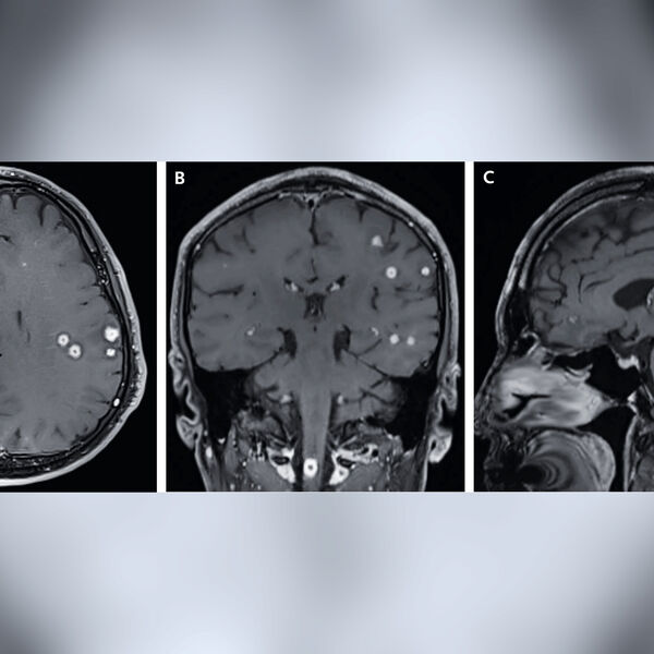
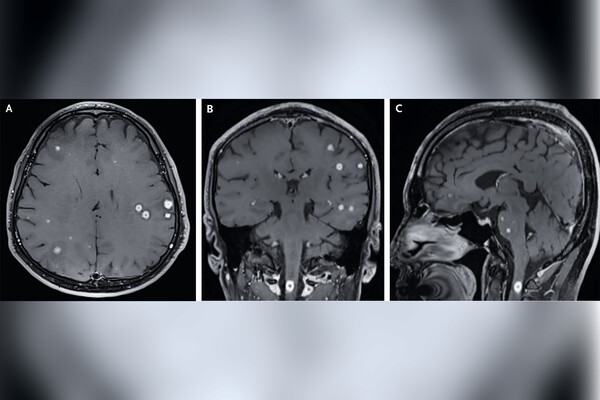
В отделении неотложной помощи одной из больниц Южной Кореи врачи столкнулись с необычной и тревожной картиной на магнитно-резонансной томограмме (МРТ) мозга пациента. Вместо привычных структур на снимке были видны многочисленные яркие очаги поражения, которые сформировали узор, напоминающий «звездное небо». Этот впечатляющий, но пугающий паттерн оказался проявлением редкой и опасной формы туберкулеза. Загадочный случай, как сообщает Ars Technica, был описан южнокорейскими врачами в последнем выпуске издания New England Journal of Medicine.

Пациент, 57-летний мужчина, ранее проходивший лечение от туберкулеза легких, обратился за медицинской помощью с жалобами на необъяснимые головные боли, боль в шее и покалывание в правой руке, которые продолжались две недели. Проведенные МРТ и компьютерная томография (КТ) четко выявили причину его состояния: редкие узлы и очаги поражения, известные как туберкулемы, были рассеяны не только в легких, но и по всей центральной нервной системе (ЦНС). Эти поражения были обнаружены в обоих полушариях головного мозга, базальных ганглиях, мозжечке, стволе мозга и верхнем отделе спинного мозга.

Состояние, названное туберкулемой ЦНС, является относительно редким проявлением туберкулеза. Обычно инфекция, вызываемая бактерией Mycobacterium tuberculosis, поражает легкие, но может распространяться на любую часть тела. Механизм образования туберкулем не до конца изучен, но предполагается, что бактерии могут перемещаться по организму с кровотоком. Существует гипотеза, что M. tuberculosis способна преодолевать гематоэнцефалический барьер, возможно, скрываясь внутри макрофагов (особого типа лейкоцитов), используя механизм, напоминающий «троянского коня». Туберкулемы, как считается, формируются из скоплений бактерий и макрофагов, которые могут содержать кальцификаты или омертвевшую ткань.

Диагностика туберкулеза ЦНС часто представляет значительные сложности, поскольку бактерии растут медленно и вызывают неспецифические симптомы. В данном случае, например, анализ спинномозговой жидкости пациента не выявил наличия бактерий, однако бактерии были обнаружены в образце мокроты. Туберкулемы часто появляются на фоне туберкулезной инфекции, которая не была адекватно пролечена, что, по всей видимости, и произошло с данным пациентом, учитывая его анамнез. К счастью, у мужчины не развилось более серьезное осложнение – туберкулезный менингит (воспаление оболочек мозга).

Пациенту был назначен интенсивный курс противотуберкулезных антибиотиков в сочетании с противовоспалительным препаратом. Благодаря своевременной и агрессивной терапии состояние мужчины стало постепенно улучшаться. Уже через месяц он почувствовал себя значительно лучше. Спустя 18 месяцев симптомы полностью исчезли, а контрольная МРТ головного мозга показала полное разрешение очагов поражения и нормальную картину.

Ранее ИИ от Google точнее врачей научился ставить диагнозы по фотографиям.

{
    "_essence": "video",
    "media_position": "bottom",
    "uid": "_id_video_media_25769102_rnd_2",
    "video_id": "record::18cca8b6-abe7-4642-81cf-b5524a40e1d7"
}

 
«Смыть грехи» не выйдет. Почему купание в проруби — бесполезное и опасное занятие