Размер шрифта
Новости Спорт
Выйти
Война США и Израиля против Ирана
Общество

Российские врачи удалили мужчине гигантскую опухоль мозга

В Новосибирске врачи удалили мужчине гигантскую опухоль мозга

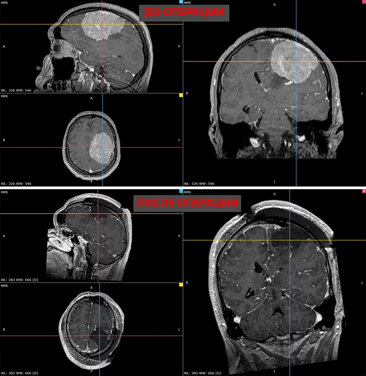
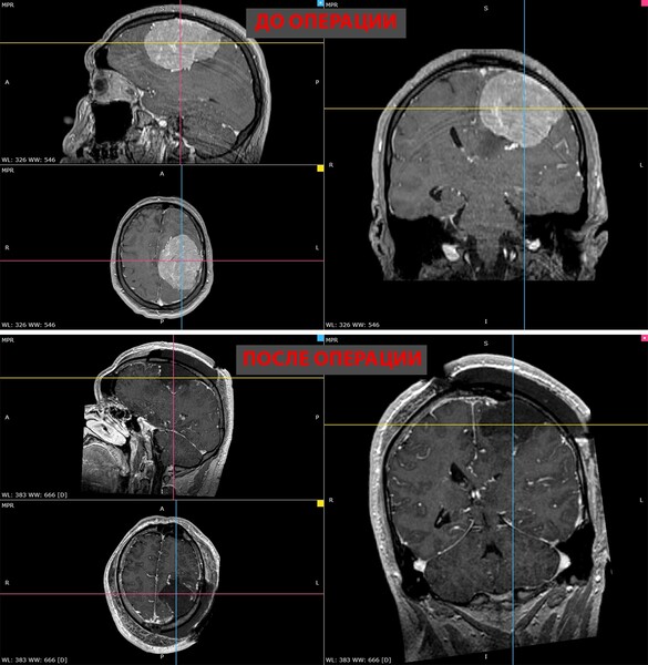
В Новосибирске врачи удалили 35-летнему пациенту гигантскую опухоль головного мозга. Об этом сообщает пресс-служба НМИЦ имени Мешалкина Минздрава России.

В ноябре прошлого года у мужчины появилась слабость в правой руке и затруднения речи — МРТ выявила у него менингиому диаметром более восьми сантиметров в левом полушарии мозга. К концу года рука практически перестала работать, ходьба давалась пациенту с трудом.

Уже в январе, когда мужчина готовился к плановой операции, у него выявили тромбоэмболию легочной артерии. Из-за высокого риска осложнений в нейрохирургическом лечении ему отказали.

Тем временем его симптомы нарастали — появились эпилептические приступы с потерей сознания и судорогами. Семья обращалась в разные клиники, но согласилась принять пациента только НМИЦ Мешалкина, где одновременно занимаются нейрохирургией и лечением тромбоэмболии.

«Когда его привезли, он уже был наполовину парализован, приступы стали ежедневными. Ждать было нельзя», — рассказал нейрохирург.

Консилиум с кардиологами и кардиохирургами решил, что пациенту можно провести операцию. Его доставили в Новосибирск в сопровождении врачей, а на второй день после поступления прооперировали.

Пятичасовая операция прошла успешно. Опухоль удалили полностью. Уже на следующий день появились движения в руке, через две недели пациент снова стал сам ходить. У него восстановились речь и движения, приступы исчезли.

Ранее российские врачи удалили женщине гигантскую опухоль щитовидной железы.

 
«Холоп 3», Данте в руках бандитов и новый Маугли с лисенком. Кинопремьеры июня-2026, которые стоит увидеть
На сайте используются cookies. Продолжая использовать сайт, вы принимаете условия
Ok
1 Подписывайтесь на Газету.Ru в MAX Все ключевые события — в нашем канале. Подписывайтесь!