Размер шрифта
Новости Спорт
Выйти
Переговоры о мире на УкраинеБлокировка Telegram
Общество

У россиянки с подозрением на инсульт нашли в мозге гигантскую опухоль

У жительницы Воронежа с подозрением на инсульт нашли в мозге огромную опухоль

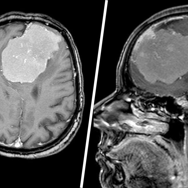
Врачи больницы скорой медицинской помощи №1 в Воронеже спасли 80-летнюю местную жительницу с огромной опухолью в мозге. Об этом сообщили в пресс-службе регионального Минздрава.

Пациентка поступила в медучреждение с подозрением на инсульт: у нее наблюдалась сильная слабость в правой руке, а также проблемы с речью. На томографии врачи исключили инсульт, но обнаружили в мозге женщины новообразование размером с грейпфрут.

«Дополнительное исследование с контрастом показало, что опухоль окутывала магистральные сосуды Велизиевого круга – переднюю мозговую артерию, а также прорастала в переднюю треть сагиттального синуса и закрывала его», — рассказали в пресс-службе.

Медики приняли решение о вмешательстве. Операция длилась шесть часов: за это время специалисты миллиметр за миллиметром удалили все образование, сохранив все важные сосуды.

После операции неврологическая симптоматика спала. По словам пенсионерки, она чувствует себя хорошо.

Ранее в Подмосковье хирурги удалили пациентке опухоль мозга размером с яйцо.


 
Внеземной интерес: зачем президенты США ищут инопланетян и что находят в секретных архивах
На сайте используются cookies. Продолжая использовать сайт, вы принимаете условия
Ok
1 Подписывайтесь на Газету.Ru в MAX Все ключевые события — в нашем канале. Подписывайтесь!