Размер шрифта
Новости Спорт
Выйти
Переговоры о мире на УкраинеСкандал вокруг Долиной
Новости. Общество

Рыбак из Подмосковья оказался на операционном столе через месяц после ужина свежей рыбой

В Подмосковье кость от рыбы проткнула кишечник мужчине и вызвала абсцесс

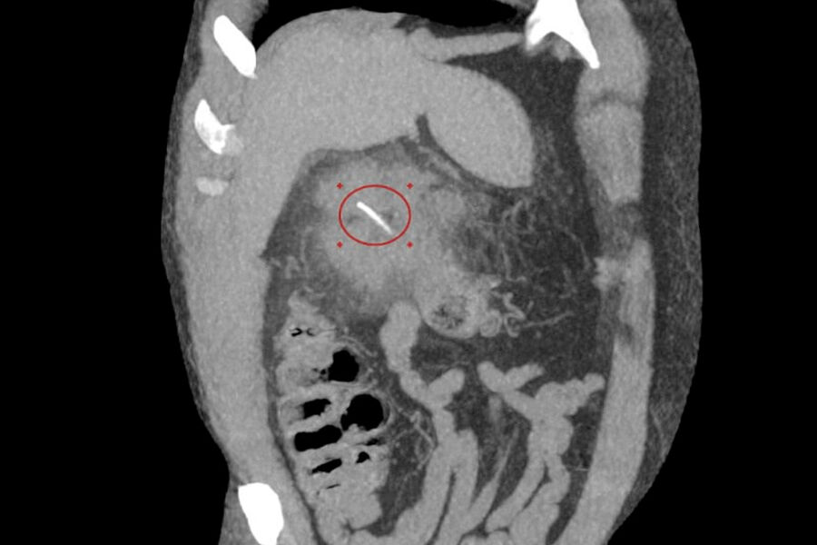
Врачи Луховицкой больницы спасли 64-летнего мужчину, у которого кость проткнула кишечник и вызвала гнойное воспаление. Об этом сообщили в пресс-службе Минздрава Московской области.

Пожилой пациент самостоятельно обратился с жалобами на периодические боли в правом подреберье. Мужчина рассказал, что увлекается рыбалкой, и месяц назад приготовил свой улов и съел. Во время трапезы, по его словам, он проглотил рыбью кость.

Во время обследования медики увидели, что трехсантиметровая кость застряла в толстом кишечнике и проделала в нем отверстие. В этом месте началось гнойное воспаление.

«Мы провели КТ-диагностику, после чего вскрыли абсцесс под спинальной анестезией и удалили гной. Операция прошла успешно», — поделился хирург больницы Илья Луньков.

Доктор отметил, что сейчас мужчина чувствует себя хорошо и готовится к выписке.

Ранее очевидцы спасли пожилого рыбака, провалившегося под лед на Москве-реке.

{
    "_essence": "video",
    "media_position": "bottom",
    "uid": "_id_video_media_25257092_rnd_2",
    "video_id": "record::cce358e4-4af0-4c8a-a3f8-6914eb35e9f4"
}

 
Строгий костюм и кальмары в Новый помешают разбогатеть. Как встречать Красную Лошадь