Размер шрифта
Новости Спорт
Выйти
Операция США в Венесуэле и захват МадуроПротесты в Иране — 2026Переговоры о мире на Украине
Новости. Общество

У молодого россиянина с жалобами на онемение руки нашли огромный тромб в шее

В Подмосковье врачи спасли 34-летнего мужчину с гигантским тромбом в шее

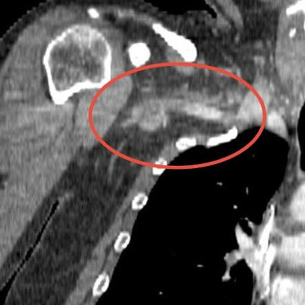
Врачи Долгопрудненской больницы спасли 34-летнего мужчину, у которого сосуды от плеча до шеи закупорил гигантский тромб. Об этом сообщили в пресс-службе Минздрава Московской области.

Пациент при поступлении в медицинское учреждение жаловался на полное онемение левой руки, боль в области плеча и шеи, слабость, «вспышки в глазах».

Во время диагностики медики установили, что в части сосудов у мужчины полностью отсутствует кровоток.

«Причиной артериального тромбоза оказался огромный 25-сантиметровый сгусток тромболитической массы, закупоривший сосуды от плеча до шеи. <…> В ходе 1,5-часовой операции мы удалили тромб с помощью специального баллона, который, расправившись, контролируемо продвинул сгусток далее по сосуду к разрезу в районе локтевого сгиба. Там мы зацепили его специальным крючком и благополучно извлекли», — поделился сосудистый хирург больницы Михаил Пырля.

Врач отметил, что в случае бездействия мужчина мог лишиться конечности. А в случае попадания части тромба в мозг последствия могли быть непоправимыми.

По словам медиков, подобная патология обычно возникает у людей пожилого возраста. Ее причиной хирург назвал генетические особенности, неправильное питание, нарушение метаболизма и избыточную массу тела.

Ранее россиянка назначила себе контрацептивы и попала в больницу с тромбом и кровью в мокроте.

{
    "_essence": "video",
    "media_position": "bottom",
    "uid": "_id_video_media_25009730_rnd_3",
    "video_id": "record::52836313-d42e-43b4-a99b-21589938bd1f"
}

 
Самолет опоздал на 30 мин — вернут деньги. Как изменят правила перелетов в России с 1 марта