Размер шрифта
Новости Спорт
Выйти
США и Израиль атаковали ИранБлокировка TelegramПереговоры о мире на Украине
Общество

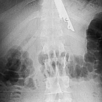
Московские хирурги спасли мужчину с 20-сантиметровым ножом в желудке

В Москве хирурги спасли мужчину с 20-сантиметровым ножом в желудке

В Москве врачи спасли пациента, у которого в желудке после пикника оказался 20-сантиметровый нож. Об этом сообщает НИИ скорой помощи им. Склифосовского.

По информации медучреждения, мужчина во время поедания шашлыка подавился кусочком мяса. Его друзья попытались помочь ему, протолкнув пищу ножом, однако острый предмет также оказался в пищеводе пострадавшего.

В результате пострадавшего доставили в медицинское учреждение, где хирурги извлекли инородный предмет из желудка пациента. Операция прошла успешно, сейчас жизни мужчины ничего не угрожает. Врачи отметили, что случаи проглатывания посторонних предметов часто происходят как по случайности, так и в результате нелепых споров.

До этого в Липецкой области врачи спасли 18-летнюю девушку с гигантской опухолью в яичнике. Она на протяжении года страдала от болей в животе, который постоянно увеличивался, и не обращалась за медицинской помощью.

Ранее челябинские врачи спасли новорожденного с аномально большим сердцем.

 
Русский след в песне Gorillaz, двойник Джима Керри и юный Шерлок. Что обсудить с друзьями на выходных
На сайте используются cookies. Продолжая использовать сайт, вы принимаете условия
Ok
1 Подписывайтесь на Газету.Ru в MAX Все ключевые события — в нашем канале. Подписывайтесь!