Размер шрифта
Новости Спорт
Выйти
США и Израиль атаковали ИранПереговоры о мире на УкраинеДело экс-замминистра обороны Цаликова
Общество

Врачи спасли восьмимесячного младенца, в желудок которому попал металлический крюк

В Челябинске младенец попал в больницу с металлическим крюком в желудке

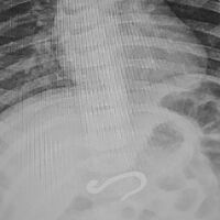
В Челябинске врачи достали из младенца металлический крюк. О необычном клиническом случае рассказали в Челябинской областной детской клинической больнице.

Восьмимесячный мальчик поступил на днях в экстренный приемный покой ЧОДКБ с подозрением на проглоченный колпачок от ручки. Однако рентген показал, что в его желудке находится металлический крюк внушительных размеров, который уже частично погрузился в двенадцатиперстную кишку.

Сначала врачи решили переместить инородное тело из кишки в более просторное место желудка, а затем подцепить и аккуратно извлечь наружу. Операция длилась час и прошла успешно. Тогда же выяснилось, что крюк не вызвал внутренних повреждений, и маленький пациент вскоре отправился домой.

Ранее врачи спасли ребенка беременной женщины, которая упала с 17-го этажа.

 
Вышел «Молодой Шерлок» от Гая Ричи. Почему это не тот Холмс, которого вы знаете
На сайте используются cookies. Продолжая использовать сайт, вы принимаете условия
Ok
1 Подписывайтесь на Газету.Ru в MAX Все ключевые события — в нашем канале. Подписывайтесь!