Размер шрифта
Новости Спорт
Выйти
США и Израиль атаковали ИранБлокировка TelegramПереговоры о мире на Украине
Общество

Пожилая россиянка мучилась кашлем и удушьем из-за опухоли, занимавшей треть грудной клетки

В Казани женщине удалили гигантскую опухоль, занимавшую треть грудной клетки

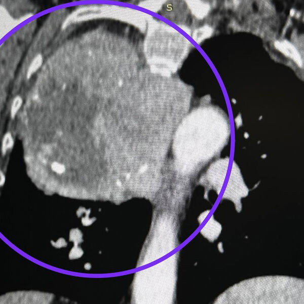
В Казани врачи Республиканской клинической больницы удалили у пожилой пациентки опухоль, которая занимала треть грудной клетки. О необычном случае медики рассказали в Telegram-канале медицинского учреждения.

По словам медиков, 75-летняя женщина почувствовала недомогание в декабре 2023 года: ее беспокоили постоянные боли в груди, ей стало трудно глотать пищу, появился странный кашель. Диагностика показала, что в груди у пациентки гигантская опухоль, выросшая из нижнего полюса щитовидной железы.

В 2017 году пенсионерке удалили практически всю щитовидку вместе с другим гигантским образованием.

В 2024 году торакальные хирурги повторили вмешательство — они удалили опухоль через разрез между ребер за три часа.

Сейчас женщину уже выписали домой.

Ранее в Петербурге врачи спасли женщину с 20-килограммовой опухолью.

 
Группа BTS возвращается: что известно о новом альбоме «Arirang» и мировом туре
На сайте используются cookies. Продолжая использовать сайт, вы принимаете условия
Ok
1 Подписывайтесь на Газету.Ru в MAX Все ключевые события — в нашем канале. Подписывайтесь!