Размер шрифта
Новости Спорт
Выйти
Стрельба и заложники в КиевеВойна США и Израиля против Ирана
Общество

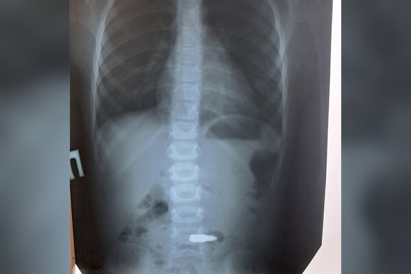
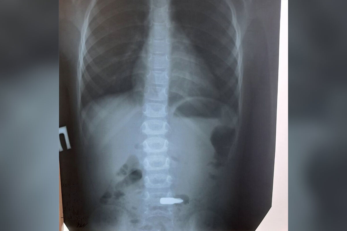
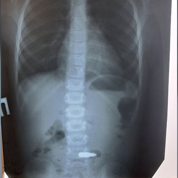
В Саратовской области ребенок проглотил деталь от шуруповерта и попал в больницу

В Саратовской области спасли ребенка с деталью от шуруповерта в желудке

Медики Балаковской городской больницы спасли ребенка, который проглотил биту от шуруповерта. Об этом сообщает пресс-служба медицинского учреждения.

В больницу был доставлен четырехлетний мальчик с подозрением на инородное тело в желудке. Выяснилось, что мальчик проглотил деталь от шуруповерта. Врачи-эндоскописты извлекли биту от инструмента под общим наркозом.

Вмешательство прошло успешно, некоторое время мальчик находился под наблюдением врачей и был выписан на амбулаторное лечение.

До этого сообщалось, что в Рязани врачи спасли девочку, проглотившую 37 магнитов. Родительница привезла ребенка достаточно поздно, когда заметила пропажу значительной части магнитной головоломки. Дошкольнице пришлось удалять инородные предметы хирургическим путем.

Ранее четырехлетний мальчик перемолол пальцы в блендере в Петербурге.

 
Массовое убийство в Киеве, тест для водителей каршеринга и «смерть» айфонов в России. Главное за 18 апреля
На сайте используются cookies. Продолжая использовать сайт, вы принимаете условия
Ok
1 Подписывайтесь на Газету.Ru в MAX Все ключевые события — в нашем канале. Подписывайтесь!