Размер шрифта
Новости Спорт
Выйти
США и Израиль атаковали ИранПереговоры о мире на Украине
Общество

Россиянка получила тройной перелом ноги, упав на каблуках

Жительница Подмосковья получила тройной перелом ноги, упав на каблуках

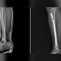
Врачи Пушкинской районной больницы помогли 30-летней женщине, которая неудачно упала на каблуках и сломала ногу сразу в трех местах. Об этом минздрав Московской области сообщил в Telegram-канале «Разборчивым почерком».

Пациентке диагностировали оскольчатый перелом костей голени, большой берцовой и малой берцовой костей. Травматологи под анестезией осуществили сращивание костей, закрепив их штифтом и винтами.

«Такой способ позволяет уйти от привычного гипса и исключить риск вторичного смещения, а также последствий в виде тромбоза, остеопороза, артроза», — пояснили медики.

Женщина смогла наступать на поврежденную ногу уже в первый день после операции. Через год пациентке предстоит еще одно вмешательство, на котором врачи удалят все металлические конструкции из ее ноги.

Ранее в Хабаровске врачи спасли женщину, на которую упала бетонная плита.

 
Сотрудники на «коротком поводке». Как компании сговариваются держать низкие зарплаты и не давать вам расти
На сайте используются cookies. Продолжая использовать сайт, вы принимаете условия
Ok
1 Подписывайтесь на Газету.Ru в MAX Все ключевые события — в нашем канале. Подписывайтесь!