Размер шрифта
Новости Спорт
Выйти
Война США и Израиля против Ирана
Общество

Пожилой японец засунул себе в пенис 230-сантиметровую скакалку

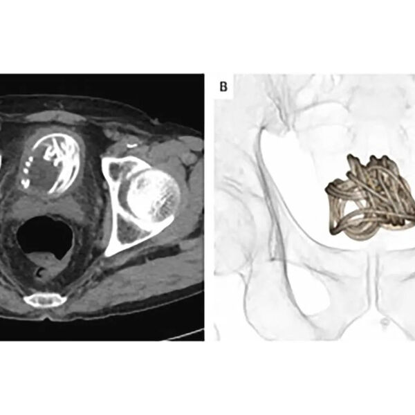
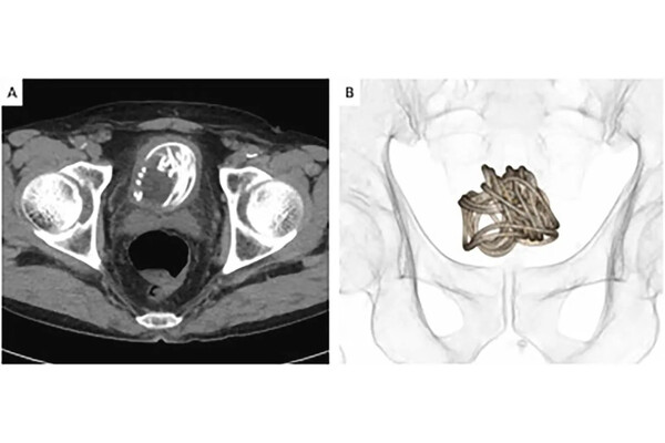
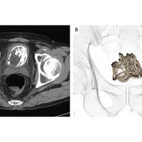
В Японии 79-летний мужчина был госпитализирован с 230-сантиметровой скакалкой в мочевом пузыре. Об этом сообщает Daily Mail.

Медики хотели изъять инородное тело через уретру, однако рентген показал, что скакалка скрутилась в большой комок. В результате, чтобы вытащить веревку, хирургам пришлось разрезать мочевой пузырь.

Перед этим врачи сделали несколько подробных снимков КТ, чтобы определиться, где лучше сделать разрез. В своем отчете медики заявили, что этот инцидент продемонстрировал «неоценимую» пользу использования 3D-реконструкций для подготовки к проведению операций на мочевом пузыре.

Профессор Джулио Гараффа, уроандролог частной клиники мужского здоровья в Лондоне заявил изданию, что этот случай один из самых «экстремальных» за время его продолжительной практики.

«За свой 20-летний опыт работы в этой области я столкнулся с рядом пациентов, посещающих отделение неотложной помощи, которые применяют эту «практику» и используют все виды предметов, достаточно тонких, чтобы пройти через уретру. Однако объект длиной 230 см должен быть одним из самых экстремальных случаев», — сказал он.

Ранее стало известно, что в Самаре спасатели срезали гайку с пениса мужчины.

 
Дружелюбный тотальный контроль. Чему российская налоговая учится у Китая
На сайте используются cookies. Продолжая использовать сайт, вы принимаете условия
Ok
1 Подписывайтесь на Газету.Ru в MAX Все ключевые события — в нашем канале. Подписывайтесь!