Размер шрифта
Новости Спорт
Выйти
Операция США в Венесуэле и захват МадуроПротесты в Иране — 2026Переговоры о мире на Украине
Семья и дети. Новости

Подмосковные врачи достали из школьницы скобку для зубов

В Подмосковье врачи спасли девочку со скобкой для зубов в желудке

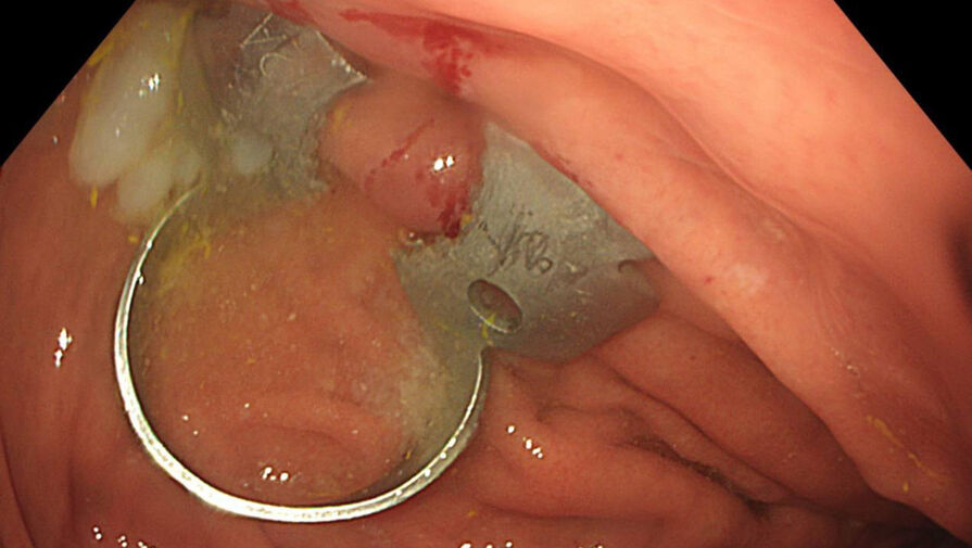
Врачи Детский научно-клинический центр им. Л.М. Рошаля спасли 13-летнюю девочку, которая проглотила стоматологическую скобку. Об этом сообщили в пресс-службе минздрава Московской области.

Школьницу доставили в медицинское учреждение на скорой. Ей сделали рентген, который подтвердил наличие инородного предмета в желудке, после чего ребенка отправили в хирургическое отделение.

«Для извлечения инородного тела мы выполнили гастроскопию, в ходе которой захватили стоматологическую скобу эндоскопической петлей. Так как инородный предмет был острый, то это создавало высокие риски травмировать слизистую, мы поэтапно провели скобу через пищевод, устье пищевода и гортаноглотку», — рассказала эндоскопист Анастасия Лазарева, добавив, что манипуляция длилась 10 минут.

Стоматологическая скобка не нанесла вред, пациентку выписали на следующий день после поступления в больницу.

Ранее в Сургуте врачи спасли годовалого ребенка, проглотившего булавку.

{
    "_essence": "video",
    "media_position": "bottom",
    "uid": "_id_video_media_27263989_rnd_2",
    "video_id": "record::cce358e4-4af0-4c8a-a3f8-6914eb35e9f4"
}

 
Как понять, что с вашей самооценкой что-то не так, и как ее починить