Размер шрифта
Новости Спорт
Выйти
США и Израиль атаковали ИранТеракт в «Крокус Сити Холле»Переговоры о мире на Украине
Семья и Дети

Небольшая припухлость в области шеи у пятилетней девочки оказалась большой опухолью

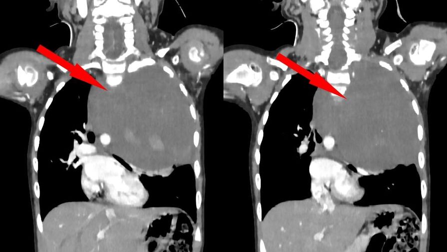
Российские врачи спасли девочку с опухолью со страусиное яйцо в грудной клетке

Врачи Российской детской клинической больницы Минздрава России прооперировали пятилетнюю девочку из Уфы с гигантской опухолью в грудной клетке. Об этом сообщили в пресс-службе больницы.

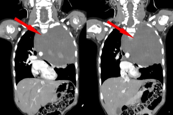
Родители показали дочь врачам, когда заметили у нее небольшую припухлость в области шеи. Специалисты по месту жительства выявили огромное новообразование размером со страусиное яйцо, которое сдавливало сердце и легкое. Сквозь ткань опухоли проходили крупные сосуды: «позвоночная артерия, питающая головной мозг, и подключичная артерия с ее ветвями, питающая левую руку». После телемедицинской консультации ребенка направили в Москву.

Столичные специалисты провели биопсию образования и установили, что оно доброкачественное. Тем не менее медики решили удалить опухоль, поскольку она «могла содержать злокачественные оттенки».

«Учитывая гигантский размер опухоли и ее расположение вблизи множества жизненно важных структур, мы использовали расширенный доступ по типу «раковины моллюска». Он предполагает рассечение не только межреберного промежутка, но и самой грудины, что позволяет «раскрыть» грудную клетку, как раковину», — рассказал заведующий отделением реконструктивной и восстановительной хирургии грудной полости РДКБ, к.м.н. Евгений Андреев об операции.

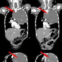
Специалист отметил, что благодаря слаженной и кропотливой работе медикам удалось удалить новообразование единым блоком, не нарушив целостность.

«По результатам контрольного гистологического исследования всего объема опухоли были обнаружены злокачественные клетки и установлен точный диагноз — ганглионейробластома», — поделились в пресс-службе.

После восстановления от операции девочка прошла курс химиотерапии по месту жительства.

Ранее в Приморском крае врачи спасли годовалую девочку, на которую упал шкаф.

 
Гослинг спасает Землю: когда «Проект «Конец света» выйдет в РФ и почему это главный фильм весны
На сайте используются cookies. Продолжая использовать сайт, вы принимаете условия
Ok
1 Подписывайтесь на Газету.Ru в MAX Все ключевые события — в нашем канале. Подписывайтесь!