Размер шрифта
Новости Спорт
Выйти
США и Израиль атаковали ИранПереговоры о мире на Украине
Семья и Дети

Уральские врачи спасли девочку, проглотившую магнитные шарики

В Екатеринбурге врачи спасли девочку, проглотившую магниты

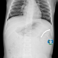
Врачи детской городской клинической больницы №9 спасли пятилетнюю девочку, проглотившую магниты. Об этом сообщили в пресс-службе минздрава Свердловской области.

Девочка рассказала родителям о плохом самочувствии, и те показали ее врачам. Медики направили пациентку на рентген грудной клетки. Благодаря обследованию специалисты обнаружили в проекции желудка цепочку магнитов, соединенных между собой. Ребенку сразу же госпитализировали и оказали помощь.

«Для минимизации риска осложнений удаление инородных тел было проведено интраоперационно. В ходе вмешательства дежурная бригада врачей извлекла 10 магнитных шариков, цепочка которых в длину составила 5 сантиметров», — рассказал детский хирург ДГКБ №9 Андрей Чукреев.

После вмешательства девочка десять дней провела в стационаре. После контрольного обследования ее отпустили домой.

Ранее в Воронеже врачи спасли ребенка с магнитами, мигрировавшими в аппендикс.

 
Кинопремьеры апреля-2026: Зендея выходит замуж за Паттинсона, а Серебряков и Деревянко ищут кровожадного зайца
На сайте используются cookies. Продолжая использовать сайт, вы принимаете условия
Ok
1 Подписывайтесь на Газету.Ru в MAX Все ключевые события — в нашем канале. Подписывайтесь!