Размер шрифта
Новости Спорт
Выйти
Переговоры о мире на УкраинеНовые файлы ЭпштейнаПокушение на генерала Алексеева
Семья и Дети

У младенца после ОРВИ образовалась в легких гигантская киста, которая мешала ребенку жить

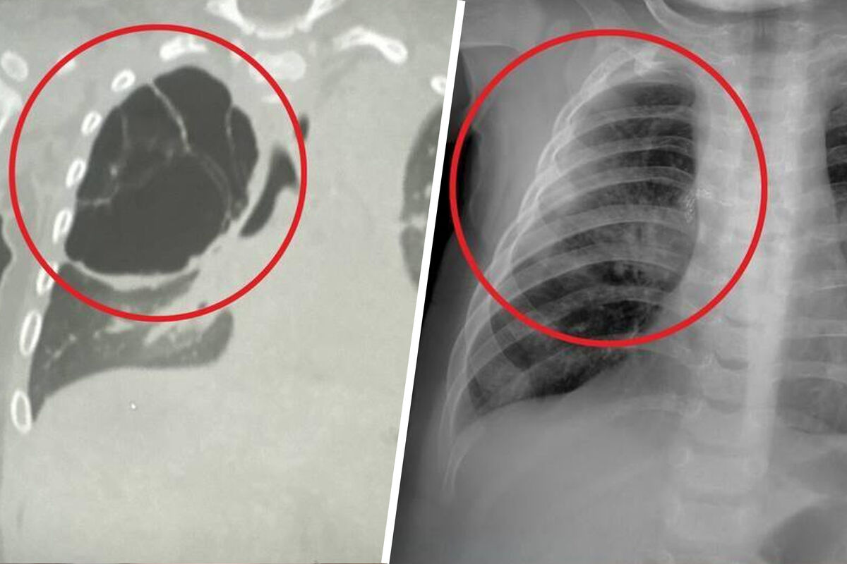
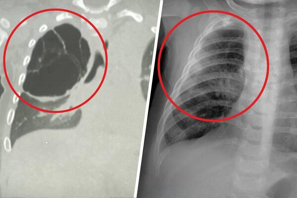
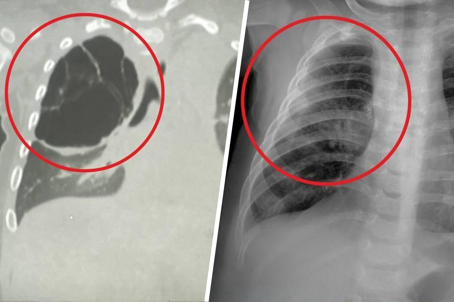
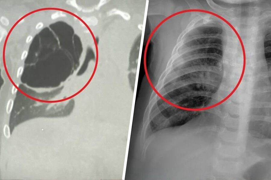
В Подмосковье врачи удалили гигантскую кисту легкого у восьмимесячного младенца

Врачи Детского центра имени Л.М. Рошаля удалили огромную кисту легкого у восьмимесячного младенца. Об этом сообщили в пресс-службе минздрава Московской области.

Как рассказали медики, образование было обнаружено во время воспалительного процесса, вызванного острой респираторной вирусной инфекцией. Киста занимала большую часть правого легкого ребенка и не давала ему полноценно развиваться. Врачи приняли решение удалить образование.

«Детские хирурги провели торакоскопическую операцию: без разреза аккуратно удалили кисту вместе с пораженной частью верхней доли правого легкого», — поделились в минздраве.

Операция длилась около часа и завершилась благополучно. Размер кисты составил около 15 сантиметров.

Сейчас младенец чувствует себя хорошо, его выписали домой.

Ранее у подмосковного подростка с жалобами на слабость нашли в легких кисту с паразитами.


 
$900 млн за левую ногу Месси. Как страхуют тела чемпионов спортивные клубы
На сайте используются cookies. Продолжая использовать сайт, вы принимаете условия
Ok
1 Подписывайтесь на Газету.Ru в MAX Все ключевые события — в нашем канале. Подписывайтесь!