Размер шрифта
Новости Спорт
Выйти
Переговоры о мире на УкраинеНовые файлы ЭпштейнаПокушение на генерала Алексеева
Семья и Дети

«Киста размером с голову»: у подростка с жалобами на слабость нашли в легких паразитов

В Люберцах врачи спасли подростка с гигантской кистой с паразитами в легком

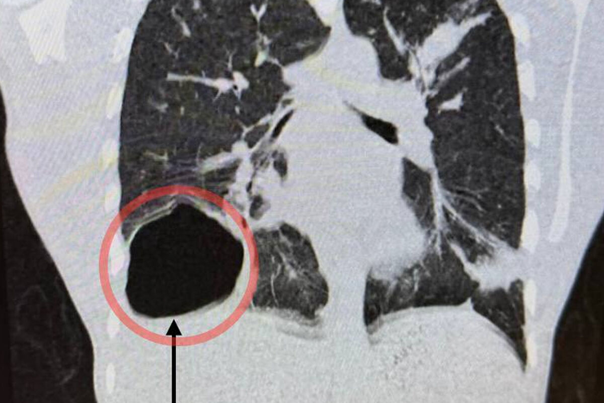
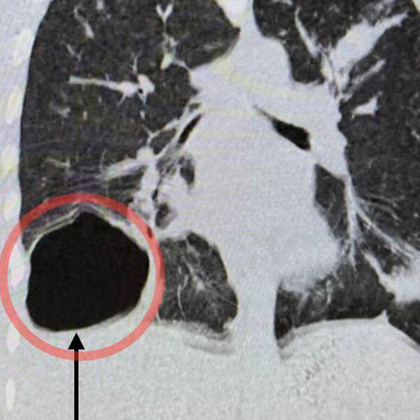
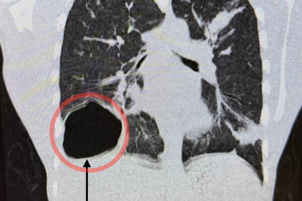
Врачи Московского областного центра охраны материнства и детства (МОЦОМД) спасли 17-летнего подростка с гигантской кистой с паразитами в легком. Об этом сообщили в пресс-службе Минздрава Московской области.

Юноша поступил в больницу с жалобами на недомогание, боль в правой половине грудной клетки и кашель. У него поднялась высокая температура. Обследование показало, что в правом легком находится крупная паразитарная киста.

«Ее размер был сопоставим с размером головы новорожденного ребенка. Киста образовалась из-за попадания в организм гельминта — эхинококка», — поделились медики.

Они отметили, что заражение часто происходит от общения с животными. Врачи подчеркнули, что симптомы болезни проявляются не сразу, патология может маскироваться под другие недуги в зависимости от локализации кисты.

Юноше провели операцию: с помощью нескольких проколов добрались до кисты и извлекли ее. Сейчас пациент чувствует себя хорошо и вернулся к обычной жизни.

Ранее в Екатеринбурге врачи спасли женщину с кистами с ленточными червями в печени.


 
$900 млн за левую ногу Месси. Как страхуют тела чемпионов спортивные клубы
На сайте используются cookies. Продолжая использовать сайт, вы принимаете условия
Ok
1 Подписывайтесь на Газету.Ru в MAX Все ключевые события — в нашем канале. Подписывайтесь!