Размер шрифта
Новости Спорт
Выйти
Притязания США на ГренландиюПереговоры о мире на Украине
Семья и дети. Новости

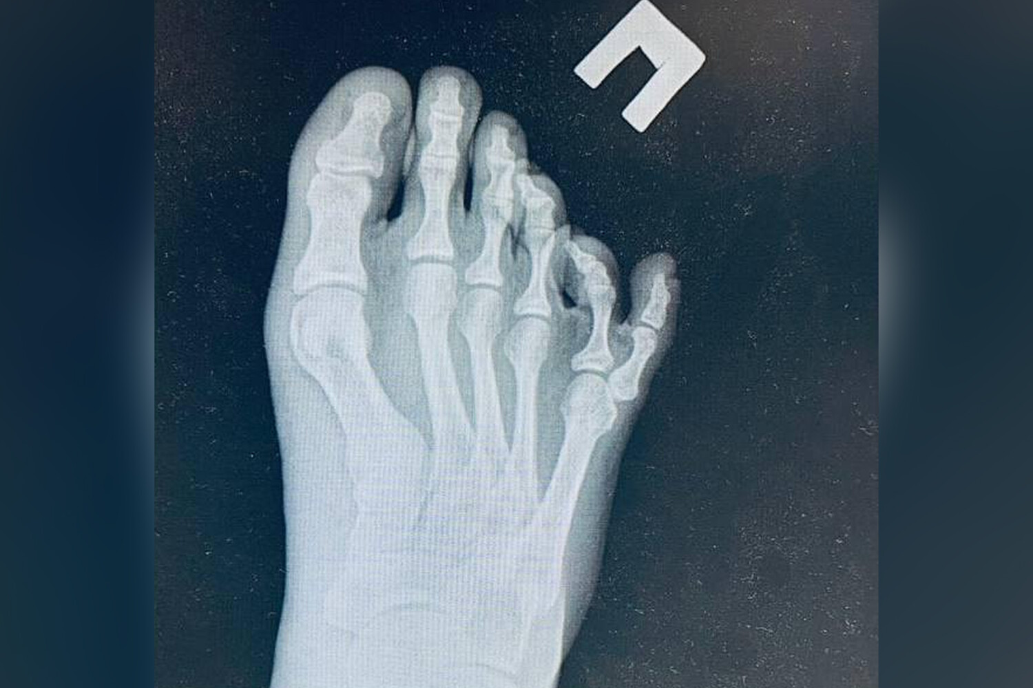
Российские врачи прооперировали школьника с шестью пальцами на ступне

В Подмосковье врачи избавили школьника от шестого пальца на ступне

Врачи Московской областной детской клинической травматолого-ортопедической больницы прооперировали 15-летнего юношу, который страдал полидактилией — патологией, когда человек рождается с лишними пальцами. Об этом сообщили в пресс-службе минздрава Подмосковья.

Школьник много лет испытывал физический и психологический дискомфорт из-за наличия на правой ноге шестого пальца. Медики обследовали подростка и приняли решение об оперативном лечении.

«Врачи провели пациенту реконструктивную операцию, в ходе которой удалили лишний мизинец», — уточнили в ведомстве.

Оперирующие специалисты отметили, что функциональность стопы со временем вернется к юноше, а о последствиях операции он и не вспомнит. Сейчас пациента готовят к выписке.

До этого врачи Филатовской детской больницы в Москве реконструировали руку пятилетнему мальчику, родившемуся со сложной полидактилией.

Ранее в Иркутске врачи удалили ребенку три лишних пальца на ноге.

{
    "_essence": "video",
    "media_position": "bottom",
    "uid": "_id_video_media_25606472_rnd_0",
    "video_id": "record::39d61310-833d-455c-b1e8-2a8c891a7ea3"
}

 
Загрузи или уходи. Могут ли уволить за отказ устанавливать приложение или использовать смартфон