Размер шрифта
Новости Спорт
Выйти
Притязания США на ГренландиюСтолкновение поездов в ИспанииПереговоры о мире на Украине
Семья и дети. Новости

Московские врачи спасли ребенка с желчным, набитым камнями

В Москве врачи спасли девочку с огромным количеством камней в желчном пузыре

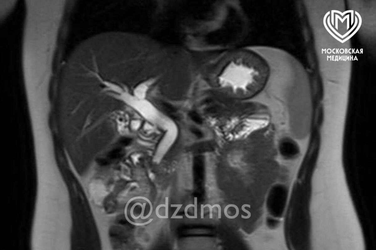
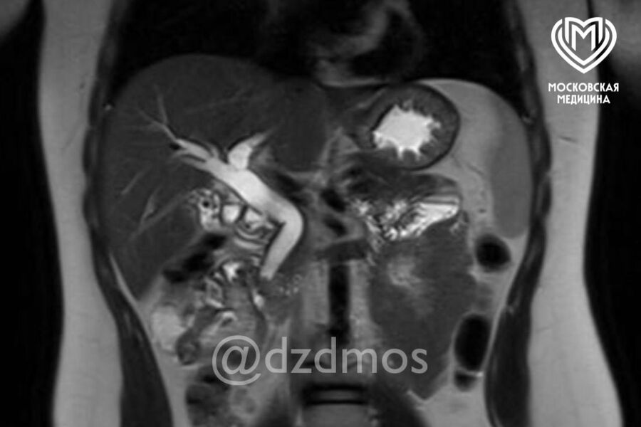
Врачи больницы имени Сперанского в Москве спасли девочку с огромным количеством камней в желчном пузыре. Об этом сообщили в пресс-службе департамента здравоохранения столицы.

Ребенок поступил в медицинское учреждение с болями в животе, рвотой и общей слабостью. Обследование показало, что в желчном пузыре ребенка скопилось огромное количество камней диаметром до 3 мм. Один из них перекрыл общий желчный проток, что угрожало жизни девочки.

Медики пояснили, что застрявшие в общем желчном протоке камни вызывают нарушение оттока желчи из печени — это приводит к развитию желтухи, начинает страдать печень, как и в случае с юной пациенткой. В тяжелых формах, как отметили специалисты, может развиться воспаление поджелудочной железы.

«Ребенку сделали эндоскопическую папиллосфинктеротомию: специальным аппаратом рассекли сосочек, впадающий в желчный проток, расширили его мышечное кольцо и извлекли камень. Вторым этапом удалили желчный пузырь, полностью забитый камнями», — рассказали в пресс-службе депздрава.

Сейчас девочка чувствует себя хорошо, ее на днях выписали домой.

Ранее в Чувашии врачи спасли мальчика, которого укусила гадюка.

{
    "_essence": "video",
    "media_position": "bottom",
    "uid": "_id_video_media_26856494_rnd_4",
    "video_id": "record::cce358e4-4af0-4c8a-a3f8-6914eb35e9f4"
}

 
Секс вне брака и съемка в метро: 6 причин, по которым вас могут арестовать на заграничном курорте