Размер шрифта
Новости Спорт
Выйти
США и Израиль атаковали ИранБлокировка TelegramПереговоры о мире на Украине
Семья и Дети

Российский школьник упал на диван и оказался в больнице с непроходимостью кишечника

В Москве врачи спасли школьника с непроходимостью кишечника после падения дома

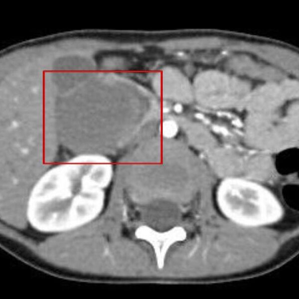
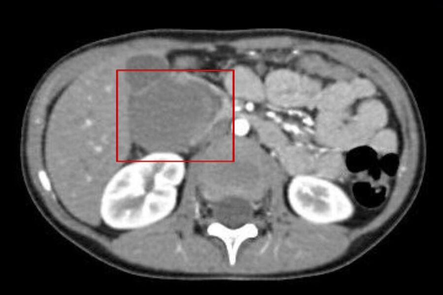
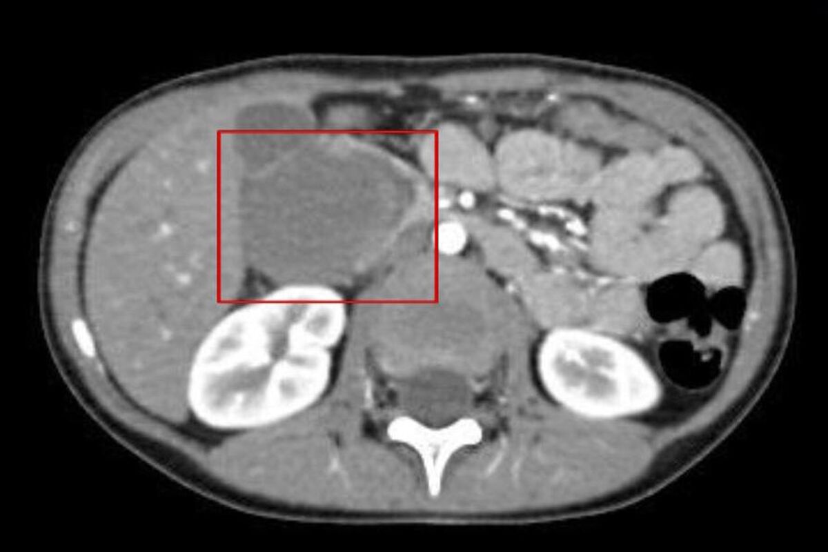
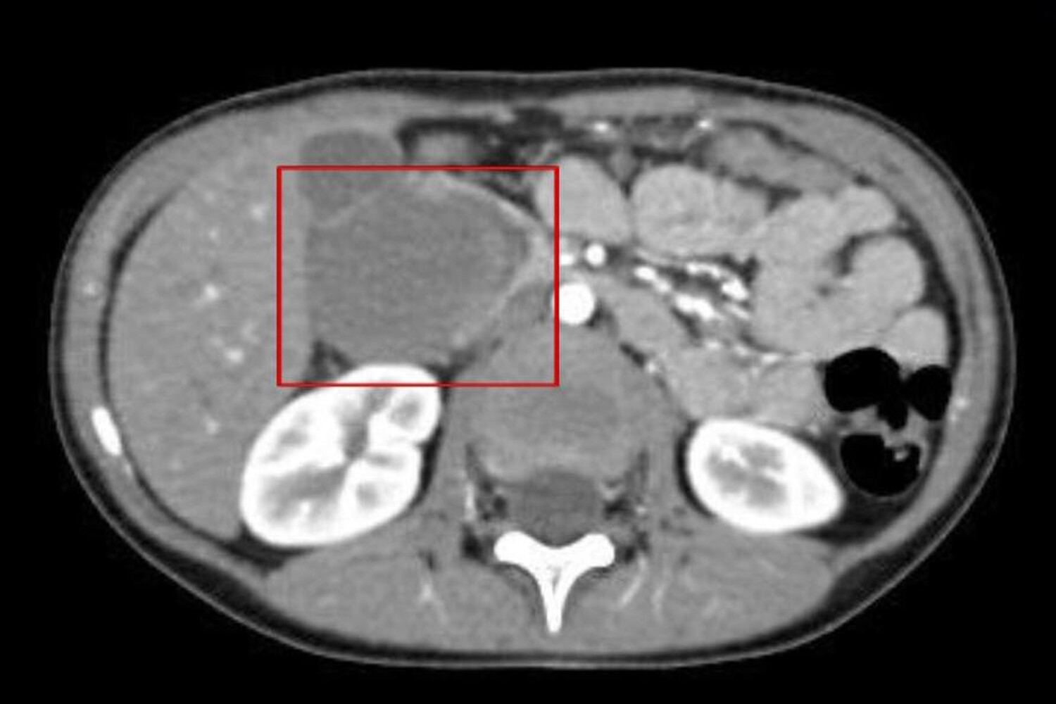
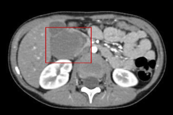
Врачи Детской больницы имени Сперанского в Москве спасли восьмилетнего мальчика, у которого после неудачного падения дома развилась непроходимость кишечника. Об этом сообщили в департаменте здравоохранения столицы.

Ребенок поступил в медучреждение с жалобами на рвоту, а также невозможность принимать пищу и пить. Его родственники пояснили, что мальчик несколько дней назад дома упал животом на подлокотник дивана. На боль не жаловался, а потом ему резко стало плохо. На осмотре специалисты заподозрили новообразование в кишечнике, что подтвердила последующая диагностика.

«Причиной кишечной непроходимости стала травма живота: после падения на подлокотник дивана у ребенка выросла гематома 52 мм на 48,5 мм», — пояснили в пресс-службе ведомства.

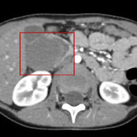
Пациенту провели лапароскопическую операцию. Во время нее хирурги обнаружили, что гематома образовалась между двумя слоями двенадцатиперстной кишки и, по их словам, «чудом ее не повредила». Специалисты добрались до гематомы и вскрыли ее.

«Такие травмы чаще всего бывают от ручки велосипеда. Это был редкий случай, и к нам вовремя обратились, потому что гематома могла инфицироваться, образоваться абсцесс», — рассказал детский хирург больницы Руслан Молотов.

Врач отметил, что на следующий день после операции мальчик уже ел твердую пищу, а через неделю его выписали домой.

Ранее в Москве врачи спасли лицо пятилетнему мальчику, которого переехал трактор.

 
Тюрьма и «Изделие N2»: как в СССР боролись с абортами и к чему это привело
На сайте используются cookies. Продолжая использовать сайт, вы принимаете условия
Ok
1 Подписывайтесь на Газету.Ru в MAX Все ключевые события — в нашем канале. Подписывайтесь!