Размер шрифта
Новости Спорт
Выйти
Циклон «Валли» Блокировка TelegramЗадержание экс-принца Эндрю
Семья и Дети

Российские врачи прооперировали мальчика с критическим искривлением позвоночника после ДТП

В Новосибирске врачи исправили искривленный после ДТП позвоночник школьника

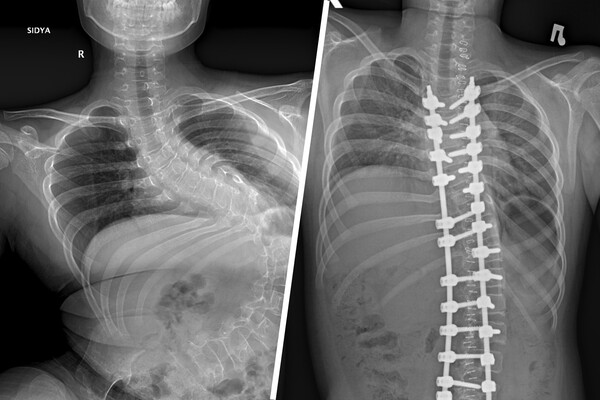
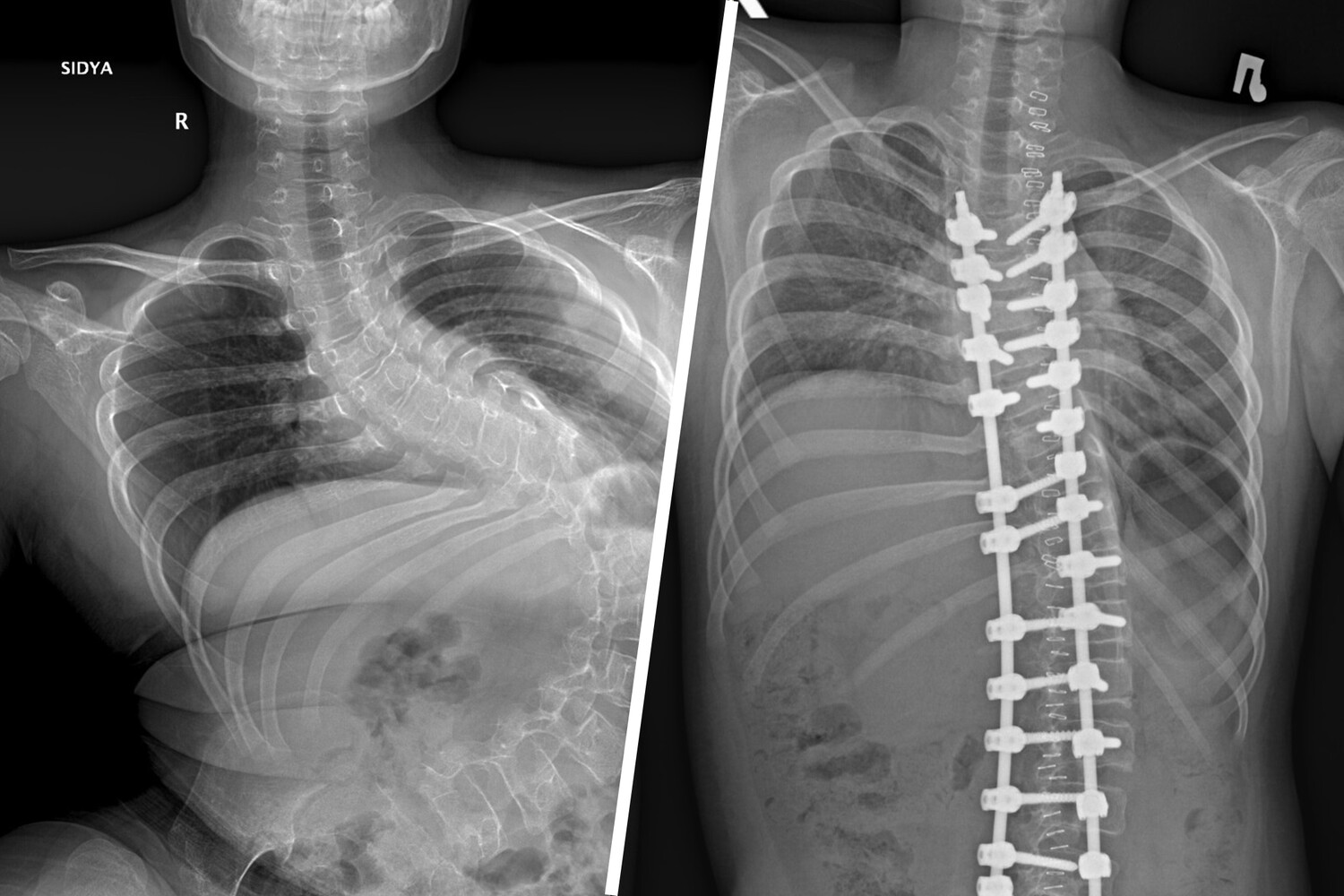
В Новосибирске врачи НИИТО им. Я.Л. Цивьяна помогли 12-летнему мальчику, который десять лет жил с сильным искривлением позвоночника, полученным в автомобильной аварии.

Как рассказали медики, ребенок живет в одном из сел Тывы вместе с матерью и младшими сестрами. Мальчик посещает обычную школу, передвигаясь на инвалидной коляске, а дома ползает по полу, предпочитая подтягиваться на руках.

В 2023 году после очередной консультации у специалистов, было принято решение оперировать пациента, как только его позвоночник будет готов. К 12 годам, по словам врачей, опороспособность позвоночника позволяла выполнить хирургическое лечение, и ребенка привезли на операцию.

«Первым этапом хирургического лечения стала коррекция деформации позвоночника, поскольку она достигла уже критических значений — более 140 градусов искривления. Без своевременно выполненной операции сколиоз прогрессировал бы дальше, и мальчик не смог бы даже сидеть», — рассказал врач больницы Александр Васюра.

Вмешательство длилось четыре часа: за это время ребенку скрепили позвоночник металлической конструкцией, скорректировав деформацию до 32 градусов.

В дальнейшем пациенту предстоит еще одна операция, направленная на лечение вывиха бедра.

Ранее в Москве врачи 10 часов исправляли тяжелую форму сколиоза 17-летней девушке.


 
Трамп уснул, охрана Алиева подралась, а Россия не приехала. Чем запомнилось первое заседание Совета мира
На сайте используются cookies. Продолжая использовать сайт, вы принимаете условия
Ok
1 Подписывайтесь на Газету.Ru в MAX Все ключевые события — в нашем канале. Подписывайтесь!